Santa Cruz Biotechnology

CD4 (GK1.5) | Santa Cruz Biotechnology

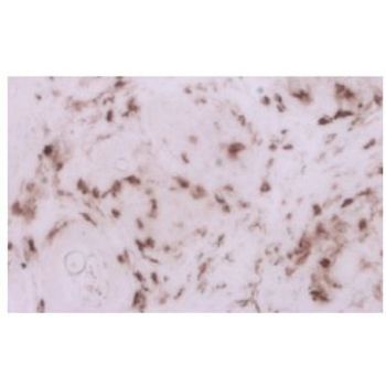
rat monoclonal IgG2b; CD4 Antibody (GK1.5) is an IgG2b rat monoclonal CD4 antibody (also designated CD4 antibody or CD4 molecule antibody) that detects an extracellular region of CD4 of mouse, rat and human origin by IP, IF, IHC(P) and FCM. CD4 Antibody (GK1.5) is available as both conjugated and non-conjugated anti-CD4 antibody forms. The T cell receptor (TCR) is a heterodimer composed of either α and β or γ and δ chains. CD3 chains and the CD4 or CD8 co-receptors are also required for efficient signal transduction through the TCR. The TCR is expressed on T helper and T cytotoxic cells that can be distinguished by their expression of CD4 and CD8; T helper cells express CD4 proteins and T cytotoxic cells display CD8. CD4 is also expressed on cortical cells, mature medullary thymocytes, microglial cells and dendritic cells. CD4 (also designated T4 and Leu 3), is a membrane glycoprotein that contains four extracellular immunoglobin-like domains. The TCR in association with CD4 can bind class II MHC molecules presented by the antigen-presenting cells. The CD4 protein functions by increasing the avidity of the interaction between the TCR and an antigen-class II MHC complex. An additional role of CD4 is to function as a receptor for HIV.

Reviews


No reviews yet

ABOUT THE COMPANY

Santa Cruz Biotechnology is a world leader in the development of products for the biomedical research market. Over the past 30+ years, the Company has focused on the ongoing development of research antibodies, siRNA and CRISPR Gene editing tools, biochemicals, labware and more recently has expanded into animal health care products. Santa Cruz Biotechnology has the highest commitment to quality and customer service.