JUL 17, 2017 6:48 PM PDT

Putting A Target On Cancer's Back

WRITTEN BY: Kara Marker

Scientists are putting a target on cancer’s back, and immune cells are being trained to track down and kill that target. In a new study from the University of Texas M.D. Anderson Cancer Center, researchers describe how they used immune cells acquired from donated umbilical cord blood to be trained and suited up to identify leukemia and lymphoma cancer cells.

 

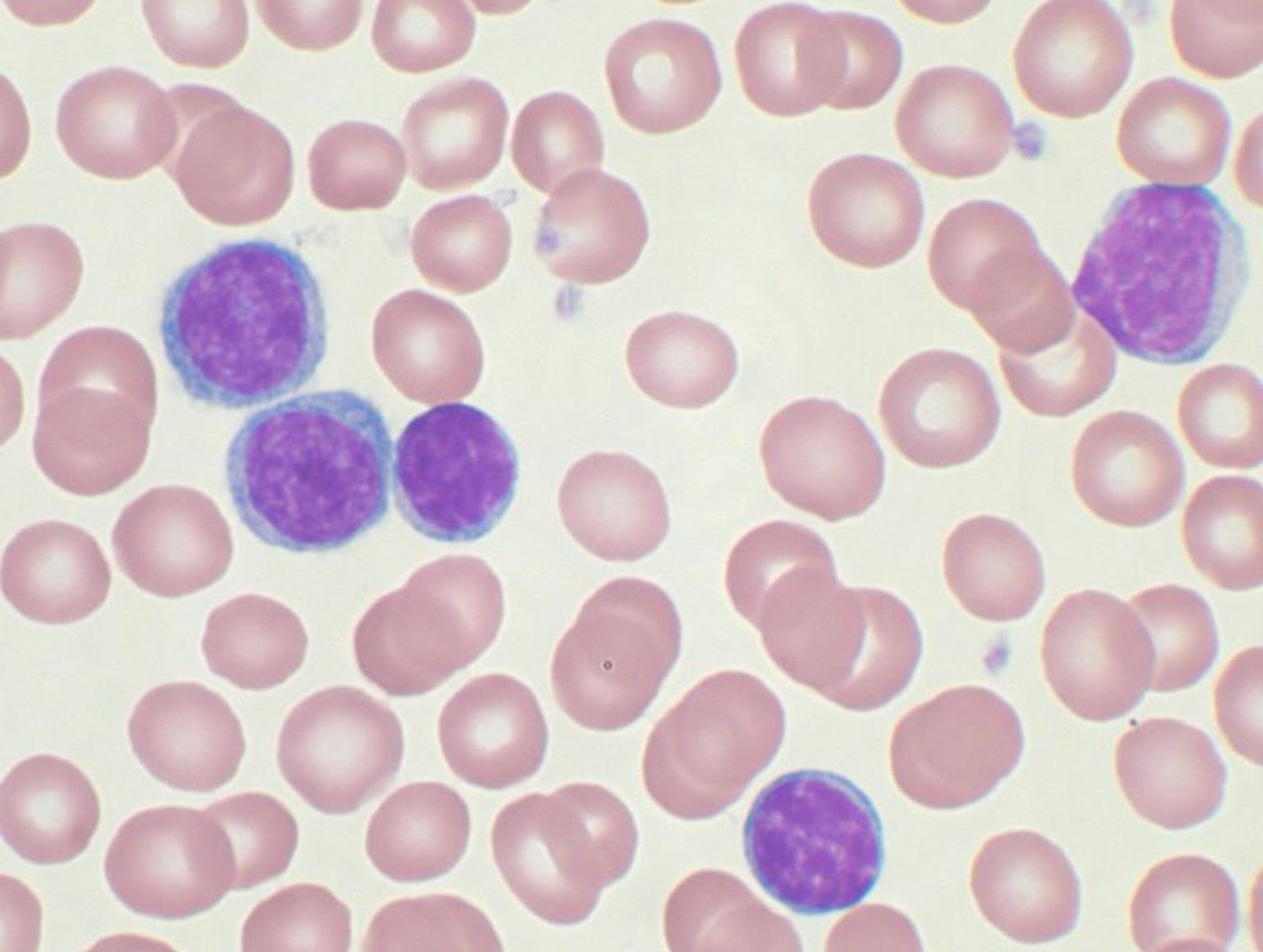
A Wright's stained peripheral blood smear showing chronic lymphocytic leukemia (CLL). The lymphocytes with the darkly staining nuclei and scant cytoplasm are the CLL cells.

 

Natural killer (NK) cells derived from cord blood are capable of targeting cancer on their own, but a new method of modifying these cells makes them even better at getting the job done. First, they are genetically engineered to be particularly persistent on finding and killing cancer. Lacing their genome with an immune chemical called interleukin (IL) 15 accomplishes this.

Next, a chimeric antigen receptor (CAR) focuses NK cells on B cell malignancies, such as surface protein CD19. This, says study researcher Elizabeth Shpall, MD, turns the NK cells into “guided missiles.” Lastly, researchers included a “self-destruct gene,” installed to protect already-weakened cancer patients against an excessive inflammatory response.

Results from studies in cell lines and mouse model showed that the modified NK cells destroyed tumors better and longer than normal NK cells. A unique phase I/II human clinical trial for patients with relapsed or resistant B cell cancers, chronic lymphocytic leukemia (CLL), acute lymphocytic leukemia (ALL), and non-Hodgkin lymphoma, began in June. Scientists will assess the potential of the newly modified NK cells in the setting of human cancer, the ultimate test.

"Natural killer cells are the immune system's most potent killers, but they are short-lived and cancers manage to evade a patient's own NK cells to progress," explained Katy Rezvani, MD, PhD. "Our cord-blood derived NK cells… are designed to address these challenges.” Indeed, Rezvani’s modified NK cells have been shown to persist for months instead of just a few weeks.

Benefits of using this approach in NK cells versus T cells

There is a risk of graft versus host disease in CAR T cells if cells are taken from a donor. T cells can be taken from the patient, but the process of transforming them into CAR T cells takes several weeks. So far, CAR NK cells from donated cord blood have shown no risk of graft versus host disease.

The MD Anderson Cord Blood Bank, found and directed by Shpall, now has 26,000 cords stored. The present study was published in the journal Leukemia.

Sources: University of Texas M.D. Anderson Cancer Center, Nature Immunology

About the Author
Master's (MA/MS/Other)
I am a scientific journalist and enthusiast, especially in the realm of biomedicine. I am passionate about conveying the truth in scientific phenomena and subsequently improving health and public awareness. Sometimes scientific research needs a translator to effectively communicate the scientific jargon present in significant findings. I plan to be that translating communicator, and I hope to decrease the spread of misrepresented scientific phenomena! Check out my science blog: ScienceKara.com.
You May Also Like
Loading Comments...